株式会社BMS JAPAN

bright CT

CONTACT

bright CT

 

the Next in CBCT for Digital Tx

大きく自由なFOV

多様な表示機能を提供し、細部から歯列矯正まで柔軟に対応します。

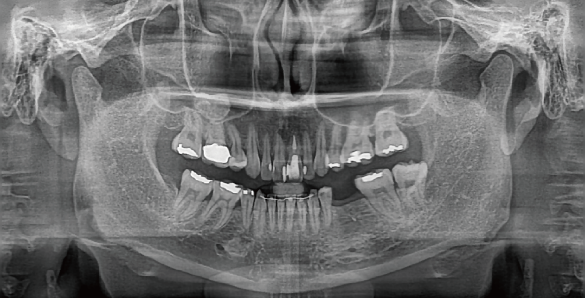
高度なMAR

強化されたMAR(Metal Artificate Reduction)テクノロジーにより金属の拡散と接触面の干渉が軽減され、より正確な診断が可能になります。

Virtual Pano

バーチャルのパノラマ画像は1回の3Dスキャンで生成でき、卓越した画像鮮明度をご提供します。

Virtual Ceph

バーチャルのセファロ画像は1回の3Dスキャンで生成でき、空間効率を向上させます。

AI駆動機能

AI機能は、診断と治療のプロセス全体で適用できます。

咬合面を設定する際に顔写真を撮影したり、フェイスボウを使用する必要がなくなりました。
CT STLファイルを使用すると、咬合平面を簡単にチェックしながら設定が可能です。

鮮明な前方イメージ

鼻腔部や頸椎との重複がなく、鮮明な前方イメージで正確な診断をご提供します。

コンパクトなデザイン

コンパクトな設計により、効率的なスペース使用と合理的なセットアップを実現させます。

製品サイズ

当店でご利用いただける電子決済のご案内

下記よりお選びいただけます。

歯科医療従事者のご確認

当サイトのサービス等の情報は、歯科医師、歯科技工士、歯科衛生士等の
歯科医療従事者の方を対象にしたものです。
一般の方に対する情報提供サイトではありません。

あなたは歯科医療従事者ですか?